Уроженка Пензенской области с онкологией повредила ногу на Бали и не может покинуть страну
25-летняя россиянка Дарья Золина отправилась в отпуск на Бали и из-за несчастного случая оказалась на больничной койке.
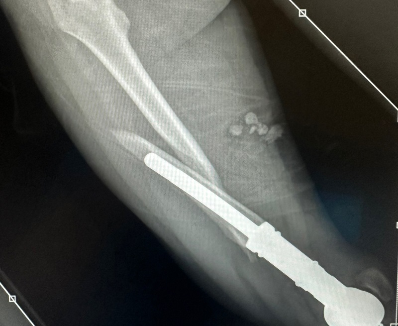
Ранее у девушки выявили опухоль, ей провели операцию по протезированию ноги.
Как сообщает Lenta.ru, девушка отправилась на Бали с подругой и во время прогулки по рисовым полям упала в яму - услышала хруст и увидела, как нога с протезом «вывернулась в другую сторону». Дарье вызвали «скорую», приезда которой она дожидалась около часа, а за перевозку в местную больницу выставили счет в 20 тысяч рублей. Несколько дней она пролежала в одной больнице, после чего ее перевезли в другую.

«Пенза-Взгляд» стало известно, что девушка - уроженка Сердобска Пензенской области. О том, что с ней произошло, она рассказала на своей странице в соцсети.
«Дорогие друзья! Я попала в беду. Я сейчас нахожусь на Бали и я сломала протезированную ногу. Я уже прошла через огромное количество операций и нуждаюсь в ней сейчас», - написала она. В первой больнице, где она оказалась, ей назвали неподъемную для семьи сумму.
Согласно посту, вечером 19 июня девушка ожидала, когда будет озвучена стоимость операции во второй больнице.
.jpg)
«Я лежу в коридоре за ширмой, ко мне никто не подходит, не желает помочь. Я не знаю, что мне делать», - написала она.
Изначально девушка хотела попасть в Москву к своему лечащему врачу, однако в ее состояни транспортировка может быть опасной. Сейчас уроженка Сердобска ищет на Бали врача, который сможет провести лечение с учетом того, что у нее онкология.
Девушка просит о помощи, подробности можно узнать на ее странице.
Ранее сообщалось, что врачи пензенского онкологического диспансера провели уникальную операцию на головном мозге с использованием стереотаксической лучевой терапии.
